The Single-Tunnel Suture Fixation of Posterior Cruciate Ligament Avulsion Fracture
PROF DR ATUL JAIN MBBS MS ORTHO SICOT FELLOW (GERMANY), AO FELLOW (GERMANY)
SENIOR CONSULTANT ARTHOSCOPY AND SPORTS INJURY, JAYPEE HOSPITAL.
Background
Tibial Aulsion of PCL incidence is quite common.Fixation is the treatment of choice for acute displaced tibial bony avulsions of the posterior cruciate ligament (PCL) either Open or Arthoscopic.
Open reduction is difficult in small and comminuted fragment.
We evaluate the clinical results of arthroscopic treatment of tibial avulsion fracture of the posterior cruciate ligament (PCL) by pull through suture fixation technique through a single bone tunnel.
Material and methods
We arthroscopically treated 28 patients (mean age, 35.3 years) with PCL avulsion fractures using 2 posteromedial portals. The bony fragment was sutured by use of a suture hook and was then reduced into the top of the tibial bone tunnel created from the anterior tibial cortex to the bottom of the fracture bed. Slight depression of 1 to 3 mm of the osseous fragment was achieved. We followed up 24 cases for more than 2 years.
Surgical technique

Post Operative
Patella manipulaion and close chain exercises immediately in post op.Immobilsed in extension 2wks.ROM brace at 3wks.
Results
The fracture usually healed at 6 to 12 weeks (mean, 2.8 months) after surgery. At the last follow-up, all patients achieved normal range of motion of the knees, except for 2 patients who had 5 degrees and 10 degrees terminal flexion limitations of the involved knees, respectively.
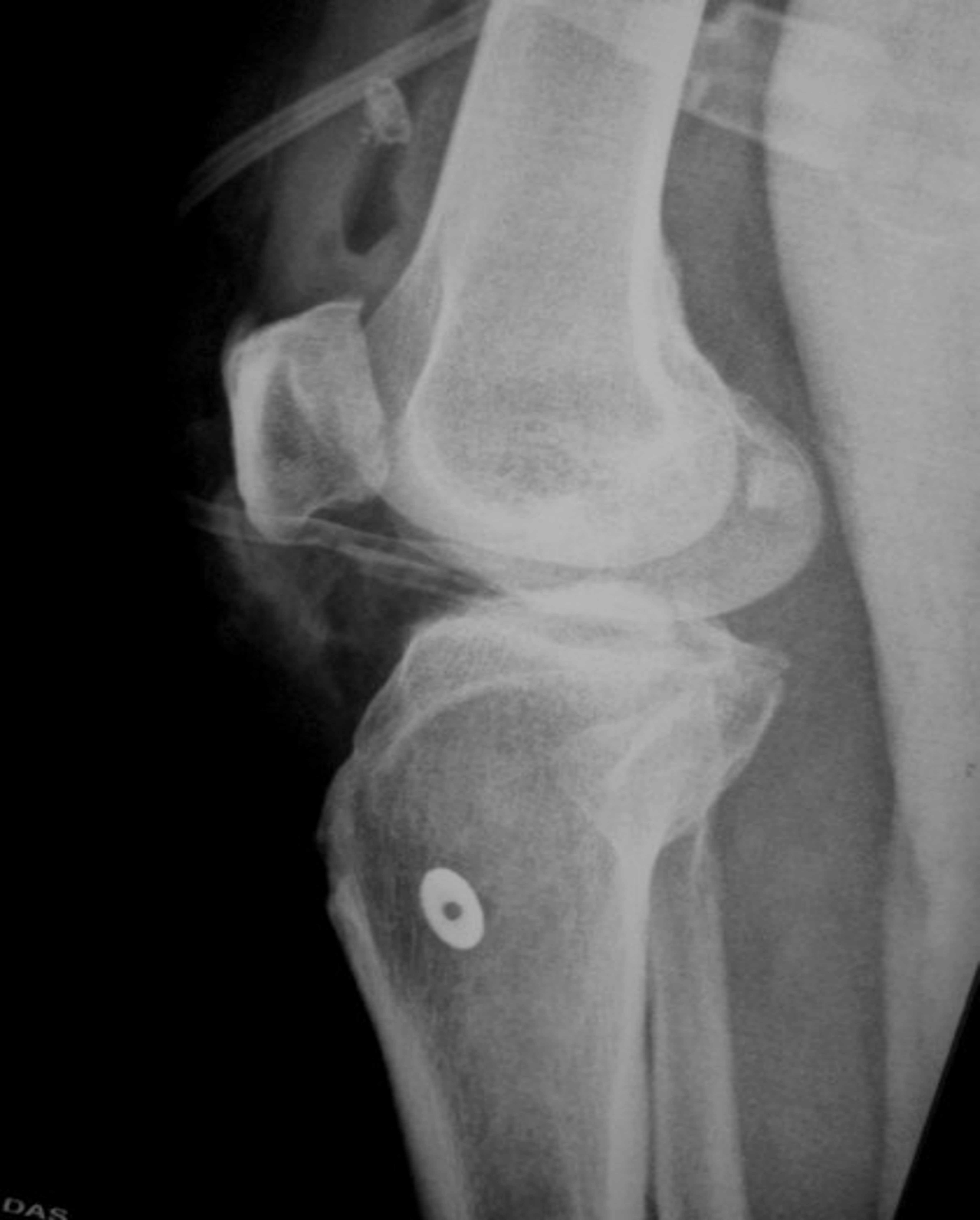
Case 1

Case 1 pre op xrays and post op xrays
Range Of Motion at 8 weeks

Conclusion
The single–tibial tunnel technique seemed not only to simplify the procedure but also to facilitate slight depression of the bony fragment, which might have been useful to restore normal tension of the PCL. Clinically, this technique was reproducible and effective.
PROF DR ATUL JAIN MBBS MS ORTHO SICOT FELLOW (GERMANY), AO FELLOW (GERMANY)
SENIOR CONSULTANT ARTHOSCOPY AND SPORTS INJURY, JAYPEE HOSPITAL.
Background
Tibial Aulsion of PCL incidence is quite common.Fixation is the treatment of choice for acute displaced tibial bony avulsions of the posterior cruciate ligament (PCL) either Open or Arthoscopic.
Open reduction is difficult in small and comminuted fragment.
We evaluate the clinical results of arthroscopic treatment of tibial avulsion fracture of the posterior cruciate ligament (PCL) by pull through suture fixation technique through a single bone tunnel.
Material and methods
We arthroscopically treated 28 patients (mean age, 35.3 years) with PCL avulsion fractures using 2 posteromedial portals. The bony fragment was sutured by use of a suture hook and was then reduced into the top of the tibial bone tunnel created from the anterior tibial cortex to the bottom of the fracture bed. Slight depression of 1 to 3 mm of the osseous fragment was achieved. We followed up 24 cases for more than 2 years.
Surgical technique
- PCL is wrapped with suture loop (Arthrex fibrewire no 2/orthocoat) by passing the suture ends from both windows(bare area in between ACL and PCL,area between medial femoral condyle and PCL).fig 1,2.

- Both ends of the suture loop are delivered posteriorly through inferior PM portal and sliding knot is passed and sitted over the osseo-ligamentous fragment.fig 3, 4.
- Suture ends are delivered anteriorly through the tunnel and pulled to reduce the fragment and tied over the suture washer with knee in extension.
Post Operative
Patella manipulaion and close chain exercises immediately in post op.Immobilsed in extension 2wks.ROM brace at 3wks.
Results
The fracture usually healed at 6 to 12 weeks (mean, 2.8 months) after surgery. At the last follow-up, all patients achieved normal range of motion of the knees, except for 2 patients who had 5 degrees and 10 degrees terminal flexion limitations of the involved knees, respectively.
Case 1

Case 1 pre op xrays and post op xrays
Range Of Motion at 8 weeks

Conclusion
The single–tibial tunnel technique seemed not only to simplify the procedure but also to facilitate slight depression of the bony fragment, which might have been useful to restore normal tension of the PCL. Clinically, this technique was reproducible and effective.
