The knee joint is the largest hinge joint in the human body and is responsible for facilitating various activities like standing, walking, running, jumping, and more. It is a complex structure formed by the femur (thigh bone), tibia (shin bone), and fibula (calf bone). The knee joint is protected in the anterior position by the patella (kneecap bone), which not only aids in extending the knee but also in the overall articulation. Moreover, the knee joint is stabilized by the anterior cruciate ligament (ACL) and posterior cruciate ligament (PCL) that restrict excessive forward and backward movements of the knee. The meniscus, which is a C-shaped cartilage, acts as a shock absorber between the femur and tibia bones and helps in maintaining knee joint stability.
However, various factors like aging, injury, and disease can damage the knee joint, causing pain, swelling, and reduced mobility. In such cases, specialized treatments such as knee replacement, knee preservation, arthritis, meniscus injuries, kneecap instability or dislocation, multi-ligament knee injuries, hamstring tear, ACL reconstruction, etc., may be required to manage and treat knee troubles and injuries effectively.
In this blog, you will find detailed information about each of these treatments, including their symptoms, causes, diagnosis, and the various surgical and non-surgical options available for treatment. Whether you are experiencing chronic knee pain or have suffered a knee injury, this blog will provide you with the information you need to understand your condition and make an informed decision about your treatment options.
KNEE REPLACEMENT
What is Knee Replacement?
However, various factors like aging, injury, and disease can damage the knee joint, causing pain, swelling, and reduced mobility. In such cases, specialized treatments such as knee replacement, knee preservation, arthritis, meniscus injuries, kneecap instability or dislocation, multi-ligament knee injuries, hamstring tear, ACL reconstruction, etc., may be required to manage and treat knee troubles and injuries effectively.
In this blog, you will find detailed information about each of these treatments, including their symptoms, causes, diagnosis, and the various surgical and non-surgical options available for treatment. Whether you are experiencing chronic knee pain or have suffered a knee injury, this blog will provide you with the information you need to understand your condition and make an informed decision about your treatment options.
KNEE REPLACEMENT
What is Knee Replacement?
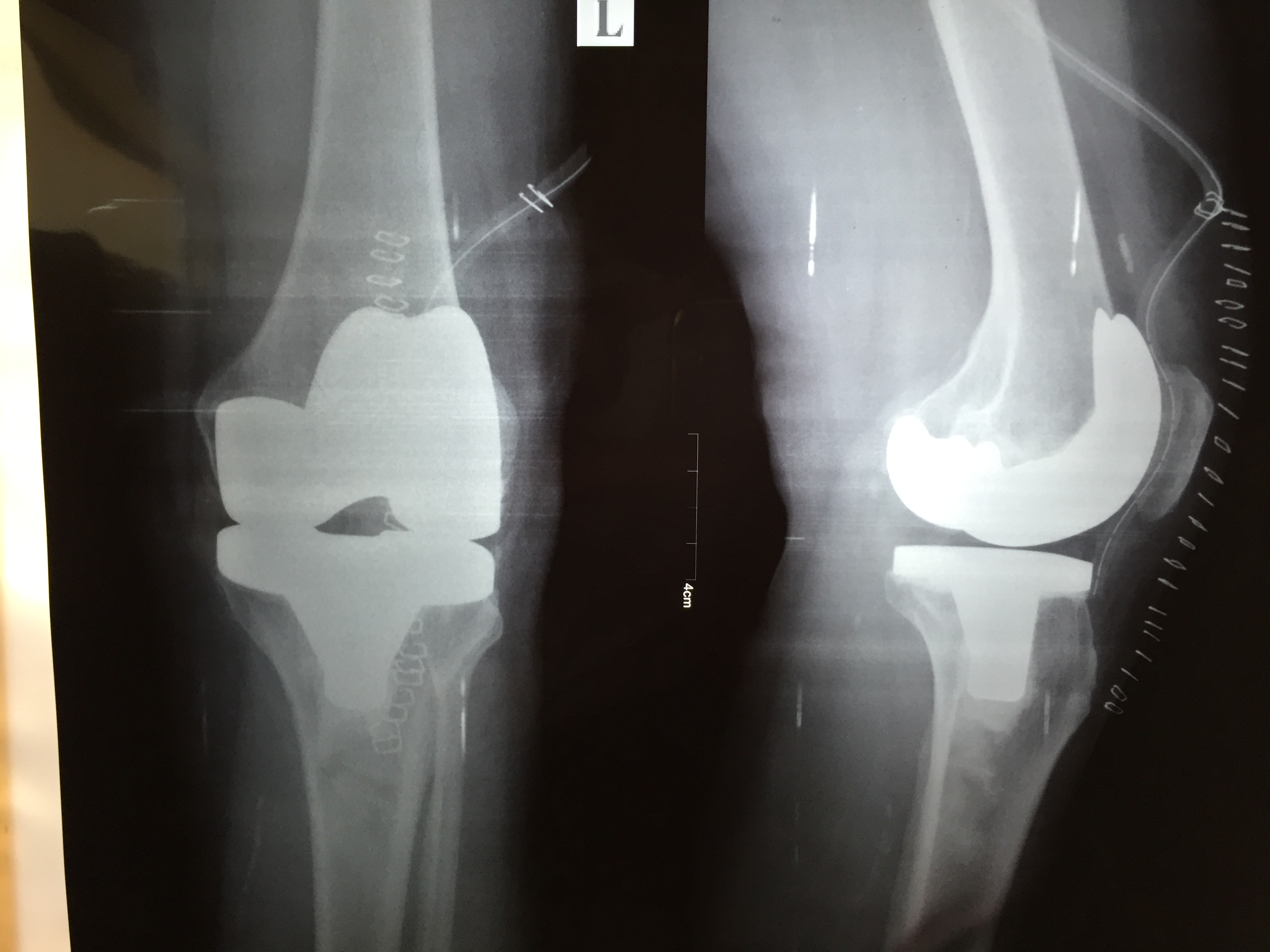
Total Knee replacement is a surgical procedure in which parts of an arthritic or damaged joint are removed and replaced with a metal, plastic, or ceramic device called a prosthesis. The prosthesis is designed to replicate the movement of a normal, healthy joint.
When it is Recommended?
Several conditions can cause knee pain and disability and lead patients to consider knee replacement surgery. In many cases, joint pain is caused by damage to the cartilage that lines the ends of the bones (articular cartilage)-either from arthritis, a fracture, or another condition.
If nonsurgical treatments like medications, physical therapy, and activity modifications do not relieve your pain and disability, your doctor may recommend total Knee replacement.
What is the Procedure?
Total joint replacement surgery takes a few hours. The procedure is performed in a hospital or outpatient surgery center.
During the surgery, the damaged cartilage and bone is removed from your joint and replaced with prosthetic components made of metal, plastic, or ceramic. The prosthesis mimics the shape and movement of a natural joint.
What is the advantage?
The majority of patients are able to perform daily activities more easily after joint replacement surgery. Most people can expect their joint replacement to last for many years, providing them with an improved quality of life that includes less pain, along with improved motion and strength that would not have been possible otherwise.
KNEE PRESERVATION
KNEE PRESERVATION
What is Knee joint preservation?
Restoration of the normal motion of the knee joint and functioning without replacement is achieved by different methods of joint care and it is known as “knee joint preservation”. The approach of preserving the knee joint helps orthopedic surgeons to treat knee joint problems while retaining the natural structure of the affected joints. Techniques of knee joint preservation are used primarily in persons having defects in the articular cartilage of the knee.
When is it Recommended?
Knee preservation is usually performed on younger patients below 50 years old who have structural damage in their knees, due to knee injuries such as:
Ligament Tears
- Knee Cartilage damage
- Meniscus tear
- ACL Injury
What is the Procedure?
Non surgical Procedures include:
- Physiotherapy
- Lifestyle change
- Yoga
- Diet Modification
- Off Loading Braces
- Injection into the joints
Surgical Procedures include –
Joint Realignment Procedures
Ligament reconstruction
Partial Knee Replacement
Advantages of Joint Preservation?
Joint preservation uses non-surgical or minimally invasive surgical techniques to preserve the natural functioning and structure of a deteriorating joint to delay or avoid joint replacement surgery to the maximum extent.
Being minimally invasive, joint preservation procedures offer the advantage of faster recovery and lower risk of complications and infection due to the least amount of damage to the adjacent structures.
ARTHRITIS
What is Arthritis?
The word arthritis is used to describe pain, swelling and stiffness in a joint or joints. Arthritis isn’t a single condition, and there are several different types with different causes and treatment methods. It may be difficult to say what has caused your arthritis. There are several factors that can increase the risk of each type of arthritis. It could be that the genes you inherited from your parents or grandparents made you more likely to get arthritis. Having arthritis can make life difficult by causing pain and making it difficult to move around. A person’s arthritis symptoms can vary from week to week, and even from day to day. Many types, such as osteoarthritis(OA) and rheumatoid arthritis, are long-term conditions.
What Causes Arthritis?
Arthritis can be caused by various factors:
Arthritis can be caused by various factors:
- wear and tear of a joint from overuse
- age (OA is most common in adults over age 50)
- injuries
- obesity
- autoimmune disorders
- genes or family history
- muscle weakness
How is arthritis diagnosed?
Seeing your primary care physician is a good first step if you’re unsure who to see for an arthritis diagnosis. They will perform a physical exam to check for fluid around the joints, warm or red joints, and document the range of motion in the joints. Your doctor can refer you to a specialist if needed.
If you're experiencing severe symptoms, you may choose to schedule an appointment with a rheumatologist first. This may lead to a faster diagnosis and treatment.
Documenting inflammation levels in your blood and aspirating and analyzing joint fluids, if present, can help your doctor determine what kind of arthritis you have.
Blood tests that check for specific types of antibodies like anti-cyclic citrullinated peptide (CCP), rheumatoid factor (RF) and antinuclear antibody (ANA) are also common diagnostic tests.
Doctors commonly use imaging scans such as X-ray, MRI, and CT scans to produce an image of your bones and cartilage. This helps them rule out other causes of your symptoms, such as bone spurs.
How is Arthritis treated?
The main goal of treatment is to reduce the amount of pain you’re experiencing and prevent additional damage to the joints. You’ll learn what works best for you in terms of managing pain.
In general, treatment for arthritis involves –
- medications and supplements
- physical therapy
- occupational therapy
- nutrient-rich diet
- regular exercise
- weight loss, if needed
- heat and cold compresses
- mobility assistance devices, such as canes or walkers
Improving your joint function is also important. Your doctor may prescribe a combination of treatment methods to achieve the best results.
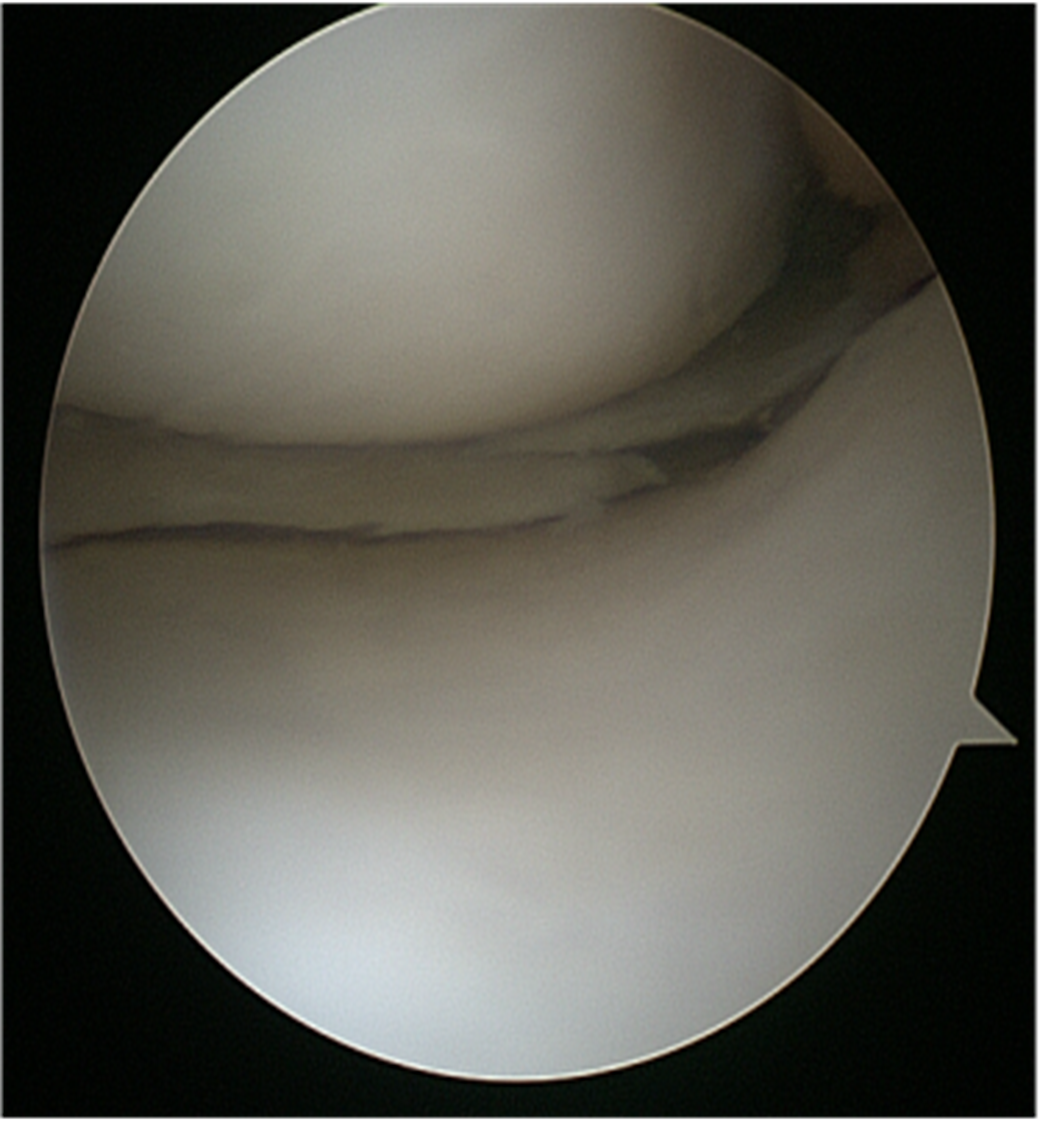
TORN MENISCUS
TORN MENISCUS
What is torn Meniscus?
A torn meniscus is one of the most common knee injuries. The cartilage between your shinbone and thighbone is shaped like a C and acts as a cushion. A torn meniscus causes pain, swelling and stiffness. You also might feel a block to knee motion and have trouble extending your knee fully.
What causes torn Meniscus?
You can tear your meniscus if you forcefully twist or rotate your knee, especially when putting your full weight on it.
How is Torn Meniscus Diagnosed?
X-rays. Because a torn meniscus is made of cartilage, it won’t show up on X-rays. But X-rays can help rule out other problems with the knee that cause similar symptoms.
MRI. This uses a strong magnetic field to produce detailed images of both hard and soft tissues within your knee. It’s the best imaging study to detect a torn meniscus.
How is Torn Meniscus treated?
Initially, you should treat the knee injury with conservative techniques that include rest, ice, compression, and elevation, or the RICE method:
Rest your knee. Use crutches to avoid any weight bearing on the joint. Avoid any activities that worsen your knee pain.
Ice your knee every three to four hours for 30 minutes.
Compress or wrap the knee in an elastic bandage to reduce inflammation.
Elevate your knee to reduce swelling.
If your knee isn’t responding to the treatments above, your doctor may recommend arthroscopic surgery. Your doctor will give you specific instructions as to how to prepare for this surgery.
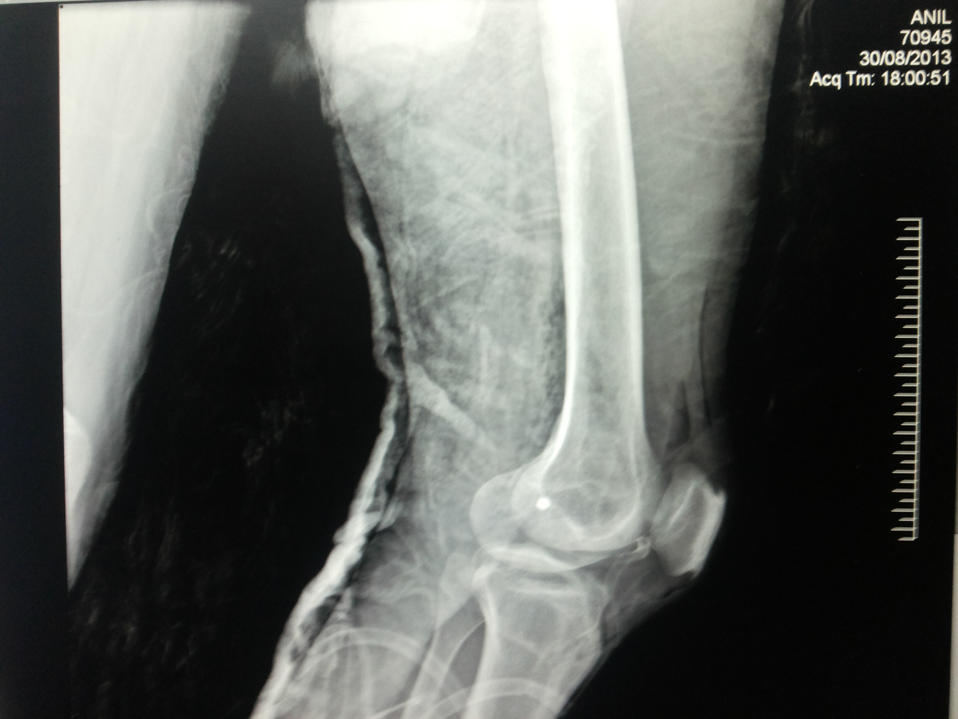
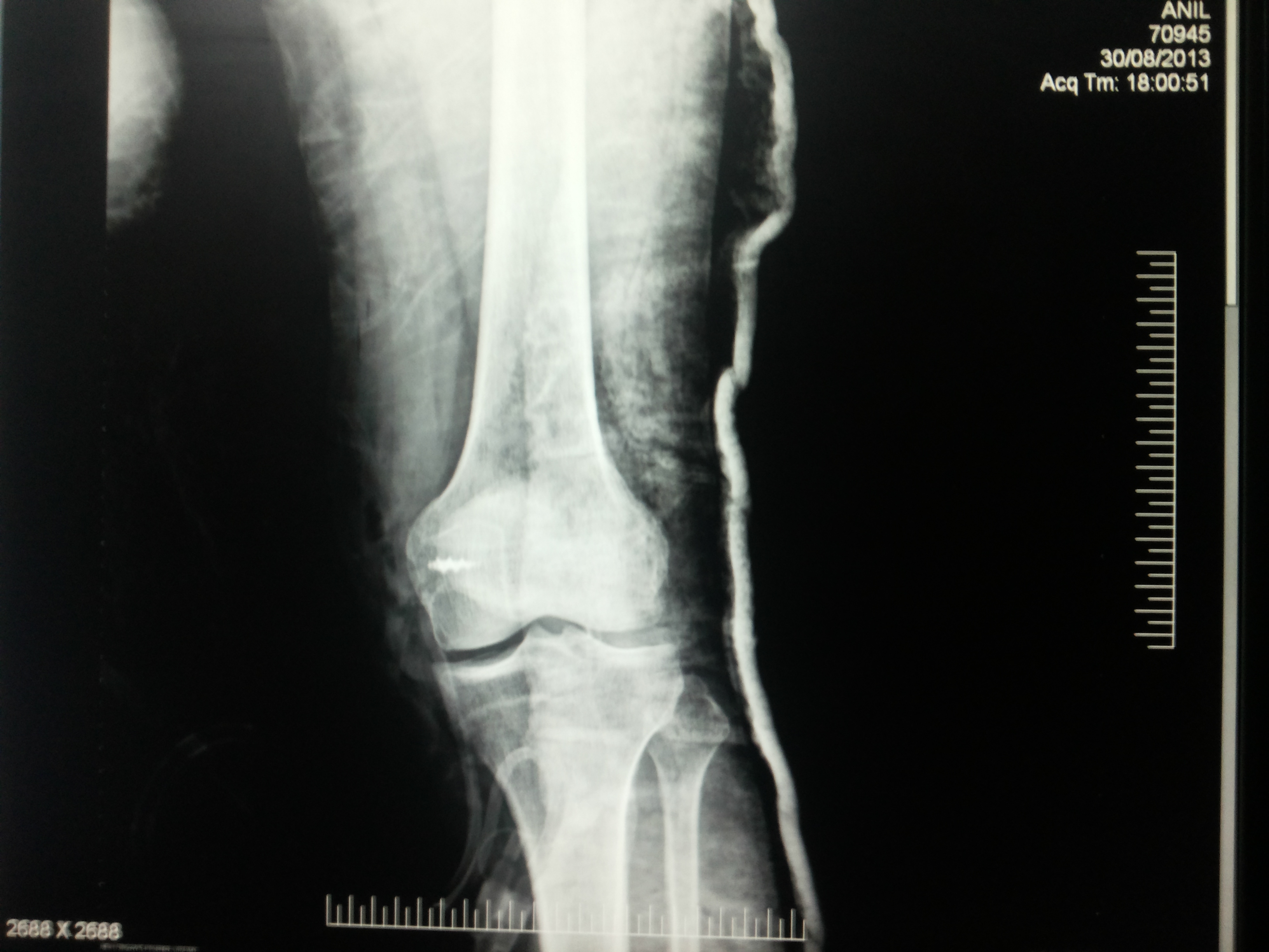
ACL RECONSTRUCTION
The anterior cruciate ligament (ACL) is a crucial ligament for knee stability and it joins the two large bones of the thigh and leg and stabilises them. It primarily prevents abnormal front & back movement of the tibia (leg bone) in relation to the femur (thigh bone).
How does ACL get torn?
ACL tear always happen because of injury to your knee joint. These injuries may occur during sports, road traffic accidents or activities of daily living (slipping on a wet floor, jumping from a low height or even dancing) that result in a sudden change of direction (pivoting), jumping or landing awkwardly. In rare situations, minor twisting while walking on uneven surfaces may lead to ACL tears when there is an associated cyst in the ligament.
What happens when the ACL is torn?
A torn ACL may lead to an unstable knee that causes “buckling” on a sudden change of direction. The patient will have difficulty in running, brisk walking, climbing up and down the stairs and feeling instability in the joint.
With buckling and instability, there are chances of damage to the meniscus (shock-absorbing cushions between these bones) and the articular cartilage (protective lining of the joint) causing early arthritis.
What is the initial management of ACL tears?
In most ACL injuries there is immediate knee swelling, pain, limp and restricted movement. The management of this early phase is relative rest, ice application & protection of the knee by a rigid or flexible brace followed by graded physiotherapy (prehab). During this phase one need to be careful on slopes, uneven surfaces and must avoid twisting movements (pivoting) and jumping. This will protect the knee from buckling that will further damage the knee.
Early surgery is performed ONLY if the knee is “locked” or unstable even during activities of daily living.
Once the swelling and pain subsides then the clinical examination and the MRI will confirm your diagnosis and further plan of treatment can be decided.
When is ACL surgery performed?
ACL surgery is performed once the knee is pain free, not swollen, the muscles around the knee stronger through targeted exercises (prehab) and knee bending is satisfactory.
In some cases this may be sufficient to manage the instability and no surgery is needed. However, if there is persistent instability, surgery (ACL reconstruction) is recommended.
How is the ACL reconstructed?
ACL reconstruction is done arthroscopically (key hole surgery). Grafts from the patient (autograft) or rarely allografts(from cadavers) are used.
Graft is fixed with Bio degradable screw and button.
When can I join back my duties?
Patient is allowed for immediate weight bearing walking after the surgery. Graduated knee bending and strengthening exercises (Elite knee Protocol) is to be followed for next 3-4 months till the graft bone healing.
Patient is allowed to play only after 6 months.
KNEECAP INSTABILITY OR DISLOCATION
What is Kneecap instability or Dislocation?
Patellar instability means the patella (kneecap) slips out of the femoral groove in the thighbone. An unstable kneecap can lead to a dislocated knee. Physical therapy and leg braces can help. Some people have chronic (ongoing) patellar instability. This condition increases the risk of dislocated knees, ACL tears and arthritis in the knee.
What Causes Kneecap instability or Dislocation?
Some of the causes are –
- Hypermobility
- Weakness or muscle imbalance
- Obesity
- Poor muscle flexibility and strength
- Uneven groove or space in femur (thighbone)
- Defect in alignment of bone or kneecap
- Dislocation or injury
- Soft tissue abnormality such as torn patellofemoral ligament
- Previous injury
How is Kneecap instability or Dislocation diagnosed?
Even if your kneecap moves back into place on its own, you should see your healthcare provider for a diagnosis and potential treatment. Your provider will perform a physical exam to assess symptoms, including your range of motion.
You may also get:
- X-rays to see if the kneecap is out of place and check for broken bones.
- MRI to check for injuries like anterior cruciate ligament (ACL) tears, meniscal tears and loose bone fragments.
For partial knee dislocations and patellar instability, your provider may recommend:
- Knee brace to immobilize the knee and keep the kneecap in place.
- Physical therapy to strengthen muscles that hold the kneecap in place and improve range of motion.
- Medial patellofemoral ligament (MPFL) repair to strengthen and repair the ligaments that hold the kneecap in place.
- MPFL reconstruction
- Knee replacement
What is multi-ligament knee Injury?
Multiple ligament knee injuries happen when more than one of the knee’s ligaments is torn. They are less common than single ligament injuries.
What causes Multi-Ligament Knee Injury?
Multiple ligament knee injuries can occur during sports activities or through high-energy trauma, such as a fall from height or a car accident.
How Multi-ligament knee Injury diagnosed?
The most important way to initially diagnose these injuries is to review a thorough history with the patient to recall that their knee felt that it dislocated and slipped back in. It’s important to determine if this was solely their kneecap joint where there was a patellar (kneecap) dislocation or if it was the complete knee joint itself slipping out of place.
These injuries are very severe and potentially limb and life threatening. Thus, assessing for this and insuring that the patient’s knee function is intact, including both the status of the pulses to ensure that the artery is not injured as well as their sensation to ensure that there are no nerve injuries present is important.
How multi–Ligament Knee Injury Treated?
Nearly all cases of multiple ligament knee injury require surgery. The goal of surgery is to:
Restore knee stability
Regain full range of motion
Allow a return to athletic activities in the future
Before surgery, patients are prescribed physical therapy to work on regaining full motion and to decrease knee swelling. All patients wear a brace to protect the knee before surgery.
HAMSTRING TEAR
What is hamstring Tear?
The hamstring muscles (3 muscles: semitendinosus, semimembranosus, and biceps femoris) are large muscles that attach to the pelvis, run down the back of the thigh, cross the knee and attached at the upper end of the lower leg bones. The muscles are attached by tendons to the bones. These muscles allow us to extend the leg and bend the knee. The hamstrings are balanced by the quadriceps muscles on the front of the thighs. The power and stability of the knees is controlled by these muscles.
What causes Hamstring Tear?
Muscle overload is the main cause of a hamstring tear. Risk factors include muscle tightness, muscle imbalance (the quadriceps are stronger than the hamstrings), poor conditioning, muscle fatigue and sports that involve lunging, sprinting, running, and jumping such as tennis, track, soccer, football and basketball. The hamstrings are not significantly active with walking and standing, so a sudden jump, stretch, lunge, or impact can tear the muscle. Furthermore, the muscle can be strained or torn simply by running, kicking, or walking down stairs.
How Hamstring Tear is Diagnosed?
Doctor will review your medical history and ask you about the circumstances surrounding your injury. He will conduct a physical examination checking for bruising, pain, weakness and swelling. If the tendon has pulled away from the bone, the muscle will appear balled up at the back of the thigh. Imaging tests will confirm the diagnosis. X-rays will reveal an avulsion, when the tendon pulls a piece of bone away with it. An MRI will provide detailed images of the muscles and tendons.
How Hamstring tear is treated?
Most hamstring and tendon injuries can heal without surgery. Mild injuries tend to heal well. Severe hamstring injuries tend to be debilitating. The goal is to restore function and prevent scarring of the muscle.
Conservative treatment involves rest, ice, compression, and elevation, anti-inflammatory medications and activity modifications for about one week. Mild and partial tears often require no other treatment. However, physical therapy may be recommended to improve range of motion and strength. Healing typically occurs within 4-6 weeks.
Treatment for a severe tear may include crutches or braces. Surgery may be needed to repair a complete rupture that damages a large amount of muscle and tendon, or when there is a bony avulsion. Stretching and range of motion exercises are important to rehabilitation, followed by strength training. It can take a few months to return to play. Reinjury is common, often caused by a premature return to sport.
