What is Fracture?
A bone fracture occurs when the continuity of the bone is broken. High-force impacts cause most bone fractures.
What Causes Fracture?
Typically caused by sports injuries, car accidents or falls, these painful injuries take time to heal. However, a fracture may be caused by some medical conditions that weaken the bones.
How is a fracture Diagnosed?
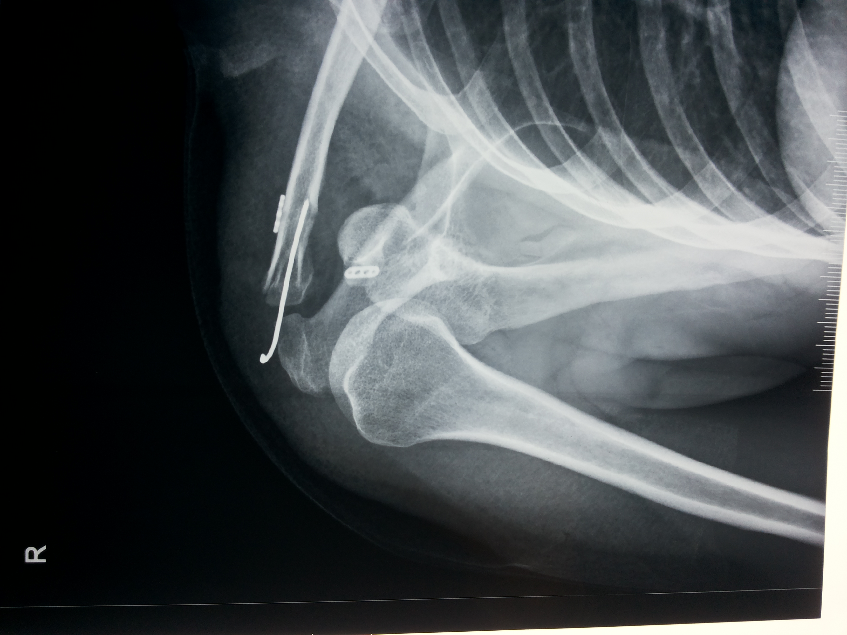
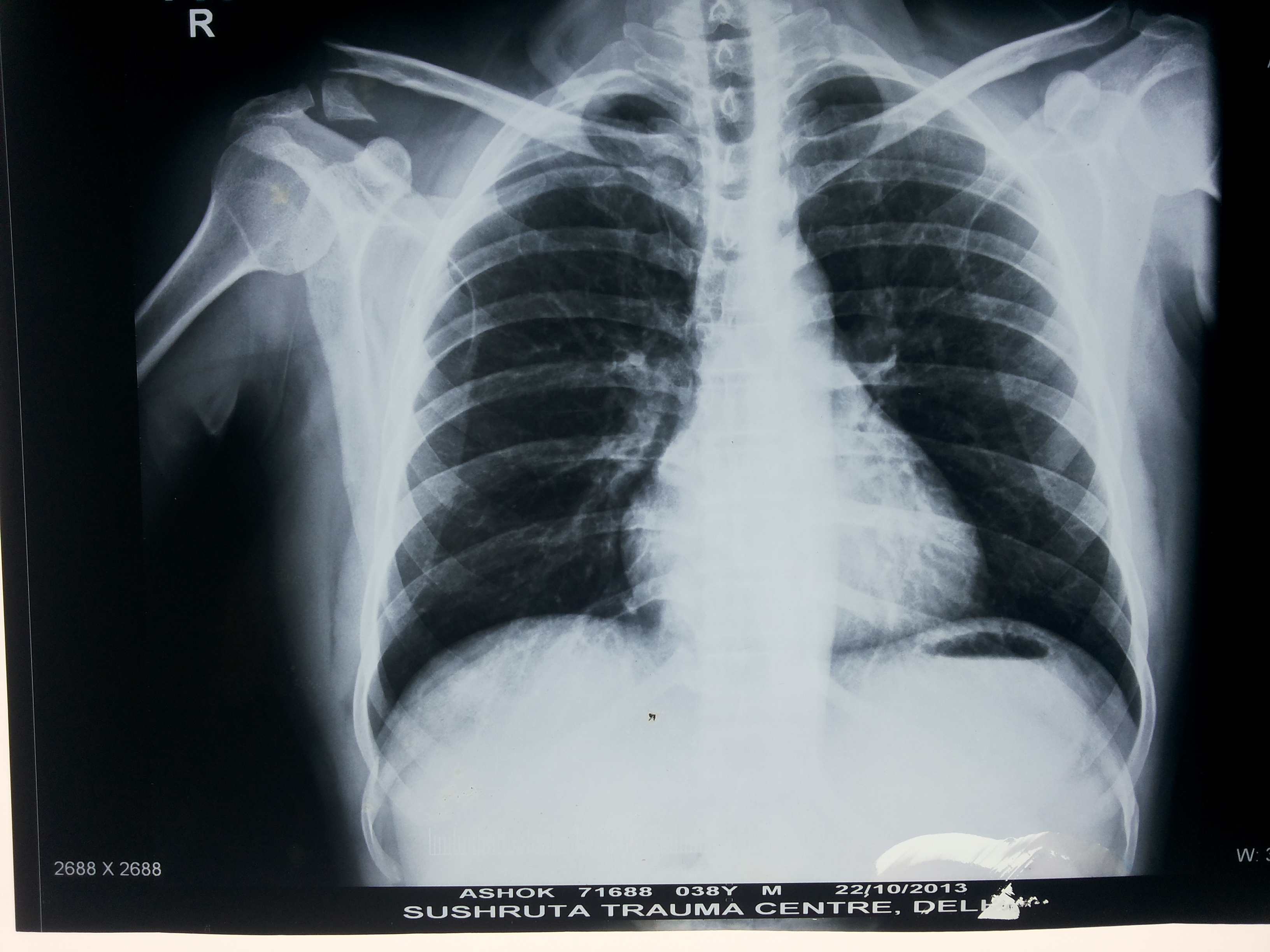
In order to determine the cause of a fracture, a doctor will inquire about the circumstances involved. A physical examination will then be performed to determine the cause. They will often order an X-ray and, in some cases, an MRI or CT scan in order to fully assess the fracture.
How is fracture treated?
A doctor will reduce the fracture for the natural healing process to begin. This involves lining up the ends of the broken bones. A doctor can do this in more minor fractures by manipulating the affected area externally. However, in some instances, this may require surgery.
Once a medical professional has aligned the fracture, they will ensure it stays in place. Methods of doing so are –
A bone fracture occurs when the continuity of the bone is broken. High-force impacts cause most bone fractures.
What Causes Fracture?
Typically caused by sports injuries, car accidents or falls, these painful injuries take time to heal. However, a fracture may be caused by some medical conditions that weaken the bones.
How is a fracture Diagnosed?
In order to determine the cause of a fracture, a doctor will inquire about the circumstances involved. A physical examination will then be performed to determine the cause. They will often order an X-ray and, in some cases, an MRI or CT scan in order to fully assess the fracture.
How is fracture treated?
A doctor will reduce the fracture for the natural healing process to begin. This involves lining up the ends of the broken bones. A doctor can do this in more minor fractures by manipulating the affected area externally. However, in some instances, this may require surgery.
Once a medical professional has aligned the fracture, they will ensure it stays in place. Methods of doing so are –
- casts or braces
- metal plates and screws
- intramedullary nails, or rods, placed in bone cavities
- external fixings
